Orthodontic Surgery Medford
Creating Balanced Smiles with Advanced Orthodontic Procedures

At Greater Boston Oral Surgery & Implant Center, we can address jaw misalignments, bite irregularities, and skeletal concerns that can’t be corrected with braces alone. Each of our Medford orthodontic surgical procedures is carefully planned to improve function, enhance facial symmetry, and create a stable foundation for orthodontic treatment—helping patients achieve long-lasting results, improved comfort, and a confident, balanced smile that supports both their oral health and overall appearance.
Why Choose Greater Boston Oral Surgery & Implant Center for Orthodontic Surgery?
- Highly Skilled Dual Degree (DMD/MD) Oral & Maxillofacial Surgeon
- Fully Digital Treatment Planning & Workflow
- In-House IV Sedation
Impacted Canines (Exposure and Bonding)

Crowding can cause a tooth to become stuck in the bone (this is most often the case with the canine teeth), but we can help create an open path and place a bracket and chain on the tooth so the teeth can be brought into the correct place utilizing a patient's braces/orthodontic methods.
Supernumerary Teeth

Dr. Keyser can remove supernumerary (extra) teeth that can disrupt alignment, crowd existing teeth, or impact eruption. Using precise techniques, he extracts these teeth safely, protecting surrounding structures and creating space for proper dental development, orthodontic treatment, and a healthier, more functional smile.
TADs: Temporary Anchorage Devices

TADS involve placing a small surgical screw in the jawbone and attaching it to a bracket with an elastic. This creates a force that regular braces can’t achieve on their own, which can help with more advanced bite problems.
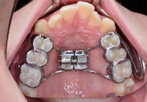
MARPE

Miniscrew-Assisted Rapid Palatal Expansion widens the hard palate to increase the size of the upper dental arch, creating room for the adult teeth to come in straight or be aligned with orthodontics.
Orthognathic Surgery (Corrective Jaw Surgery)

While orthodontics can correct a wide variety of bite issues, some are simply beyond the capability of braces or clear aligners. A misaligned bite can often stem from an undersized/underdeveloped upper or lower jaw, which cannot only negatively affect a person’s ability to chew and speak, but also detract from their appearance, lead to accelerated tooth wear, and breathing issues like obstructive sleep apnea. With orthognathic surgery, we bring balance to a patient’s smile so that the teeth fit together properly, creating a functional, attractive result that looks as good as it feels.